Ultrasound Imaging and Doppler for Neurologists
Master it at the hands of the ones who matured it.

You work in a discipline where timing matters, subtle findings matter, and the difference between “likely” and “known” can change everything.
Ultrasound gives you something powerful: real-time bedside physiology — repeatable, noninvasive, and immediately actionable.
Whether your focus is acute neurovascular decision-making, outpatient cerebrovascular risk assessment, neurocritical care collaboration, or longitudinal follow-up, ultrasound can strengthen your clinical clarity without adding friction to the patient’s day.
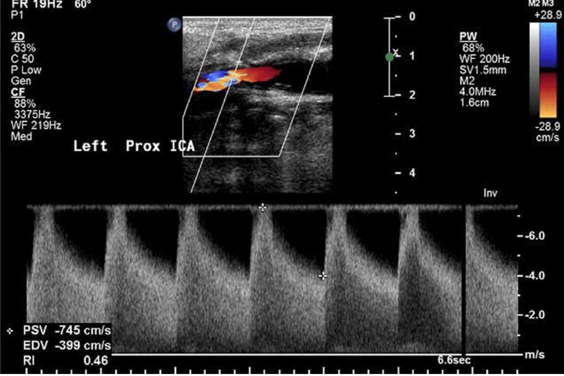
And in our hands-on micro-class format, you won’t just learn “what to look for.” You’ll learn how to scan with purpose, how to optimize windows, and how to interpret Doppler information the way it’s meant to be used: as physiologic evidence.
Where ultrasound supports your everyday work.
Depending on your practice, clinicians commonly use ultrasound to support:
Carotid and vertebral artery evaluation.
Intracranial flow assessment (where applicable) and collateral patterns.
Physiologic correlation with symptoms: flow, waveform patterns, and change over time.
Risk-stratified follow-up for known stenosis or post-intervention monitoring.
Bedside collaboration with critical care teams when neurologic change occurs in complex patients.
Why this matters in Neurology.
Neurovascular assessment is time-sensitive. Ultrasound helps you gain rapid, repeatable insight when stroke or TIA is on the table.
Hemodynamics matter. Doppler adds a physiologic layer that complements imaging — trends, flow direction, resistance patterns, and response to change.
Follow-up is part of good medicine. Ultrasound supports longitudinal monitoring without repeated radiation, transport, or heavy resource demand.
You can ask better questions in real time. When symptoms evolve, ultrasound can help clarify what’s happening now — not what happened hours ago.
Where ultrasound supports your everyday work.
Depending on your practice, clinicians commonly use ultrasound to support:
Carotid and vertebral artery evaluation.
Intracranial flow assessment (where applicable) and collateral patterns.
Physiologic correlation with symptoms: flow, waveform patterns, and change over time.
Risk-stratified follow-up for known stenosis or post-intervention monitoring.
Bedside collaboration with critical care teams when neurologic change occurs in complex patients.
This is not about replacing formal imaging.
It’s about adding a clinical tool that helps you:
Clarify what’s happening now.
Communicate more precisely with vascular, cardiology, radiology, and ICU teams.
Monitor change without delay
Make faster, safer decisions when time and transport are not your friend.
Refinement, not remediation.
We recognize that your time is limited—and that every professional decision you make carries downstream consequences for patient care. Time with us is not a pause from practice, but a strategic investment in sharper judgment, greater efficiency, and sustained clinical confidence. Our role is to refine how you see, interpret, and decide at the bedside—and to remain a long-term resource as your clinical questions evolve.
Training Clinicians Worldwide Since 1981.
Testimonials reflect individual learning experiences. Growth in skill and confidence develops through guided training, continued practice, and personal commitment.
Contact Us
972 | 353-3200 USA Central Time
Course Campus:
4300 Wingren Drive
Irving (Las Colinas), Texas 75039
Mail | FedEx Address:
Box 101
Colleyville, TX 76034
Legal & Administrative
Privacy Policy
Accessibility Statement
© Keith Mauney & Associates Ultrasound Training Institutes MMXXVI. All rights reserved.
Courses & Learning
Upcoming Course Dates
Your Skills-Building Experience
Hands-On POCUS- Point of Care Ultrasound
Hands-On Adult Echocardiography
Hands-On Transvaginal Pelvic Ultrasound
Ultrasound Physics
Cardiovascular Hemodynamics
EKG- From Atoms to Arrhythmias
