How the Hands-On Vascular Ultrasound course typically unfolds.
Our Vascular course unfolds as a protocol-driven journey through arterial, venous, and physiologic Doppler mastery.
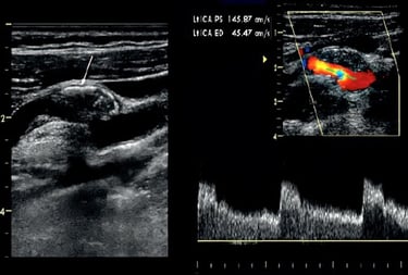
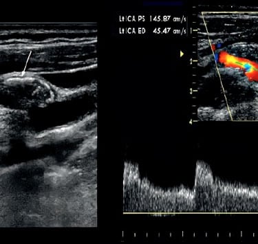
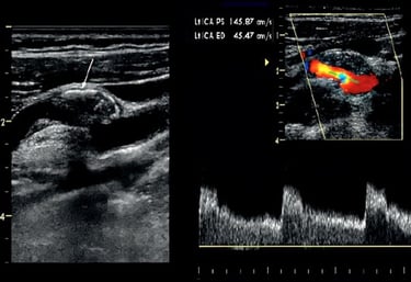
We begin by aligning participants around the core vascular anatomy and hemodynamic principles that make each Doppler signal meaningful. Early scanning sessions focus on smooth image acquisition and accurate angle alignment across major vascular beds.
As your foundation solidifies, scanning expands to encompass a systematic, total-body protocol — carotid, upper and lower extremities, abdominal vessels, transcranial windows, and venous insufficiency surveys — all with immediate faculty feedback. Doppler interpretation is integrated alongside anatomy, teaching you how to recognize and quantify pathology rather than memorizing isolated signs.


Training Clinicians Worldwide Since 1981.
Testimonials reflect individual learning experiences. Growth in skill and confidence develops through guided training, continued practice, and personal commitment.
Contact Us
972 | 353-3200 USA Central Time
Course Campus:
4300 Wingren Drive
Irving (Las Colinas), Texas 75039
Mail | FedEx Address:
Box 101
Colleyville, TX 76034
Legal & Administrative
Privacy Policy
Accessibility Statement
© Keith Mauney & Associates Ultrasound Training Institutes MMXXVI. All rights reserved.
Courses & Learning
Upcoming Course Dates
Your Skills-Building Experience
Hands-On POCUS- Point of Care Ultrasound
Hands-On Adult Echocardiography
Hands-On Transvaginal Pelvic Ultrasound
Ultrasound Physics
Cardiovascular Hemodynamics
EKG- From Atoms to Arrhythmias
