How the Hands-On Transvaginal course typically unfolds.
Our one-day hands-on transvaginal ultrasound course is structured to build confidence, clarity, and clinical precision in every learner from the first scan.
We begin with respectful patient approach and machine optimization, ensuring that learners feel grounded in both technical and human aspects of care. A rapid, sequential pelvic protocol is introduced early, so each scan has purpose and flow.
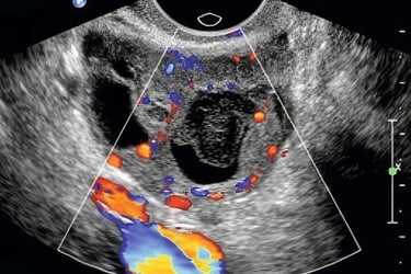
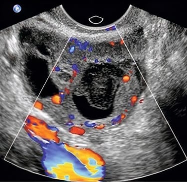
Hands-on practice emphasizes complete, systematic exams of the uterus, ovaries, adnexa, and Doppler assessment where indicated — each with faculty coaching on image optimization and interpretation. Brief reflective discussions bridge anatomy, physiology, and normal vs expected pathological findings.
Scanning sessions are designed to build familiarity and muscle memory, progressing from basic views to more advanced pelvic documentation. Independent lab time reinforces skills at your pace. By the end of the day, you’ll walk away with a clear, efficient protocol and interpretive logic you can immediately apply in women’s health settings


Training Clinicians Worldwide Since 1981.
Testimonials reflect individual learning experiences. Growth in skill and confidence develops through guided training, continued practice, and personal commitment.
Contact Us
972 | 353-3200 USA Central Time
Course Campus:
4300 Wingren Drive
Irving (Las Colinas), Texas 75039
Mail | FedEx Address:
Box 101
Colleyville, TX 76034
Legal & Administrative
Privacy Policy
Accessibility Statement
© Keith Mauney & Associates Ultrasound Training Institutes MMXXVI. All rights reserved.
Courses & Learning
Upcoming Course Dates
Your Skills-Building Experience
Hands-On POCUS- Point of Care Ultrasound
Hands-On Adult Echocardiography
Hands-On Transvaginal Pelvic Ultrasound
Ultrasound Physics
Cardiovascular Hemodynamics
EKG- From Atoms to Arrhythmias
