How the Hands-On OB Ultrasound class typically unfolds.
Our obstetric course is organized to build systematic competency in the fetal anatomy scan, with a strong emphasis on tactile skill, spatial reasoning, and pattern recognition.
Training begins with probe ergonomics, safety protocols, and machine optimization. From the first cases onward, you’ll apply a methodical cervix-to-fundus scanning strategy, ensuring every accessible fetal structure is evaluated and documented thoroughly. Between patient scanning, faculty lead short discussions that reinforce the standard anatomy survey protocol and common clinical challenges.
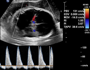
As scanning proceeds, color, power, and spectral Doppler are introduced where they add diagnostic value, not just technical complexity. Learners repeatedly practice fetal cardiac and vascular assessments, placenta and cord evaluation, and biophysical profile techniques in context.
Independent lab time and guided reflection help consolidate each tactile probe skill so you finish ready to apply your learning directly in practice, with long-term support available whenever you need it.


Training Clinicians Worldwide Since 1981.
Testimonials reflect individual learning experiences. Growth in skill and confidence develops through guided training, continued practice, and personal commitment.
Contact Us
972 | 353-3200 USA Central Time
Course Campus:
4300 Wingren Drive
Irving (Las Colinas), Texas 75039
Mail | FedEx Address:
Box 101
Colleyville, TX 76034
Legal & Administrative
Privacy Policy
Accessibility Statement
© Keith Mauney & Associates Ultrasound Training Institutes MMXXVI. All rights reserved.
Courses & Learning
Upcoming Course Dates
Your Skills-Building Experience
Hands-On POCUS- Point of Care Ultrasound
Hands-On Adult Echocardiography
Hands-On Transvaginal Pelvic Ultrasound
Ultrasound Physics
Cardiovascular Hemodynamics
EKG- From Atoms to Arrhythmias
